Implantologia
Implantologia rigenerativa
Caso 1
La chirurgia rigenerativa e gli impianti permettono risultati estetici soddisfacenti, solo se il chirurgo è esperto.
Prima


Dopo


Caso 2
Impianto post-estrattivo immediato e innesto connettivale.
Prima

Dopo

Caso 3
In questo caso si è reso necessario il rialzo del seno mascellare bilaterale, per la ricostruzione dei tessuti duri (osso) e dei tessuti molli (gengiva). La paziente ha portato 25 anni una protesi incongrua, questo le ha provocato la perdita di tanto osso. Con la tecnologia CAD-CAM, è possibile ricostruire le protesi, partendo da un disegno al computer, e poi produrla attraverso una macchina che costruisce in 3D il pezzo in zirconio o altro materiale. Il tecnico di laboratorio provvede poi a personalizzare con la porcellana estetica.
Prima


Dopo


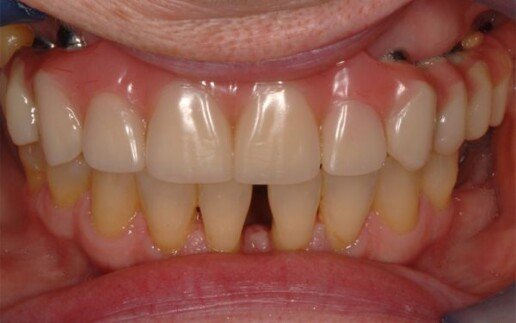
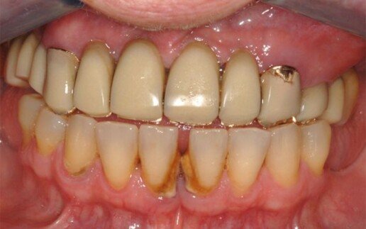
Caso 4
Riabilitazione totale superiore e inferiore su impianti. Gli esiti di una paradontite grave portano alla perdita totale dei denti. E’ necessario ricostruire sia i denti sia i tessuti molli e anche l’osso per il sostegno delle labbra.
Prima


Dopo


Implantologia computer guidata
Caso 1
Un software progetta la chirurgia, da cui viene ricavata una mascherina. Gli impianti vengono inseriti senza tagli, senza suture, senza sanguinamento, con il carico immediato dei denti in giornata. Questa tecnica necessita di una buona conoscenza dei mezzi informatici e chirurgici del dentista, semplificando per il paziente l’atto chirurgico, il comfort, il dolore e la riduzione dei tempi operatori.
ore 9,00


ore 9,45


Studio al computer pre-chirurgia

La mascherina chirurgica prodotta con sistema CAD-CAM


Caso 2
La chirurgia guidata permette di passare immediatamente a denti fissi senza tagli, suture, dolore, sanguinamento e gonfiore.
Prima

ore 9,00
Dopo

ore 13,30






Caso 3
Qual è l’umore di un paziente senza sorriso e senza possibilità di masticare? E se il sorriso può cambiare in un giorno, come reagisce?







Caso 4
Chirurgia Computer Guidata: no tagli, no suture, no stress e carico immediato.
Prima

Dopo




Caso 5
Con la tecnologia CAD-CAM conoscendo già prima la posizione virtuale degli impianti, si può preparare il provvisorio che verrà applicato fisso lo stesso giorno della chirurgia.
Prima

Dopo


Studio al computer

Mascherina progetto al computer

