Protesi
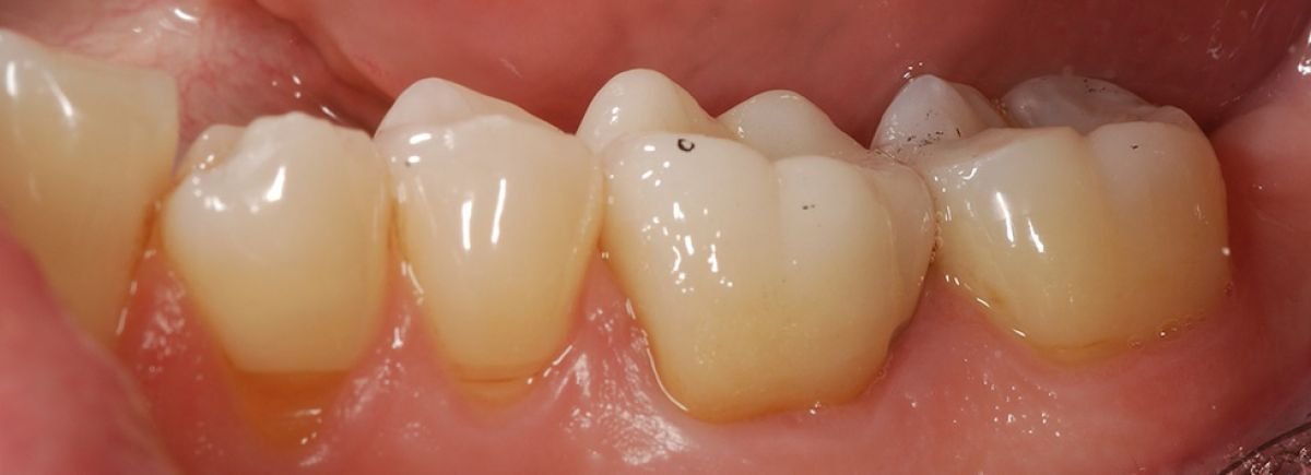
Ponte adesivo di tipo Maryland
Si tratta di una soluzione che si utilizza come ponte provvisorio di attesa, oppure come definitivo in casi in cui le condizioni anatomiche o economiche sconsigliano l’utilizzo di impianti. I denti hanno una preparazione minima, limitata allo smalto, in più può servire a splintare (unire) denti con supporto parodontale residuo ridotto per dare maggiore stabilità.
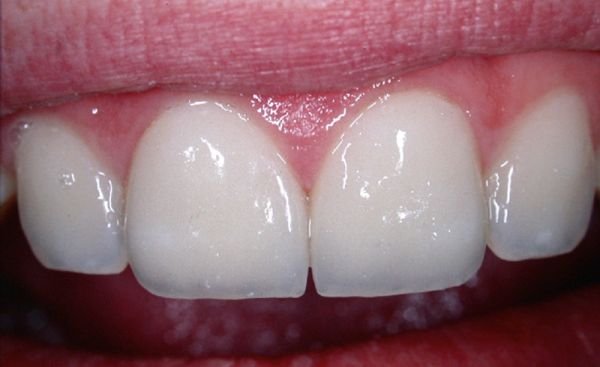
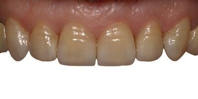
Caso 1
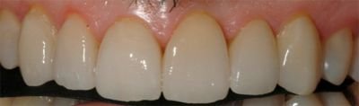
Innovativi sono i sistemi adesivi di Ponti Maryland senza metallo. In questo caso la paziente di 13 anni, dopo ortodonzia per agenesia del dente 12 (incisivo laterale superiore DX), in attesa di inserire un impianto in età adulta, porta una protesi incollata in ceramica del tutto analoga ad un dente naturale.
Prima

Dopo




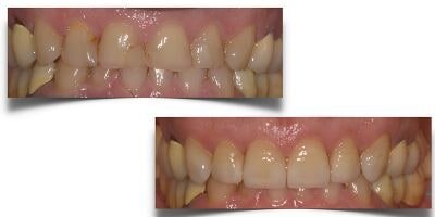
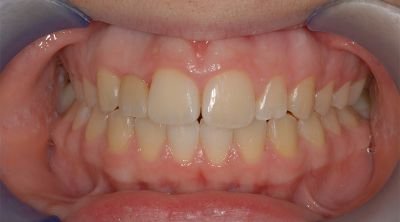
Caso 2
Prima

Dopo

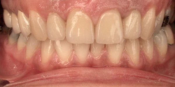
Caso 3
Prima

Dopo

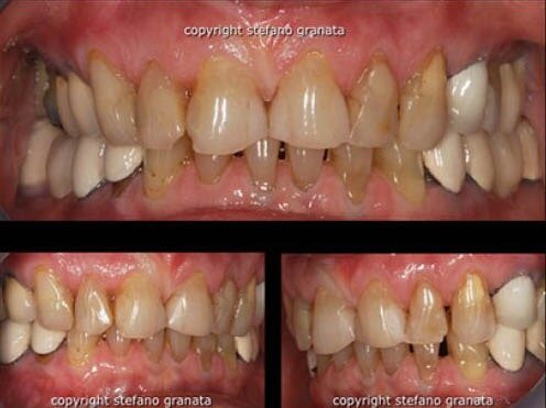
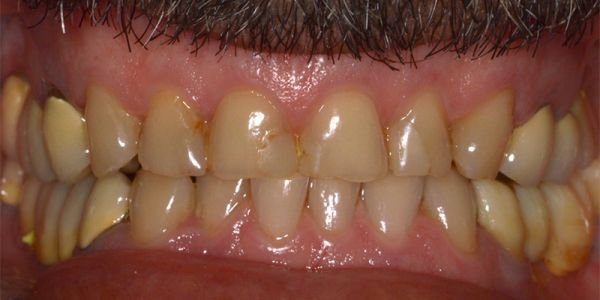
Faccette in ceramica
Sono delle lamine sottilissime che vengono incollate all’esterno dei denti, per cambiarne forma e colore. Le faccette dentali vengono usate per migliorare anatomia e funzione della masticazione, o quando vogliamo correggere il colore dei denti, non altrimenti migliorabile con gli sbiancamenti, oppure quando vogliamo chiudere spazi eccessivi tra i denti.
Caso 1
Prima

Dopo

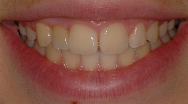
Caso 2
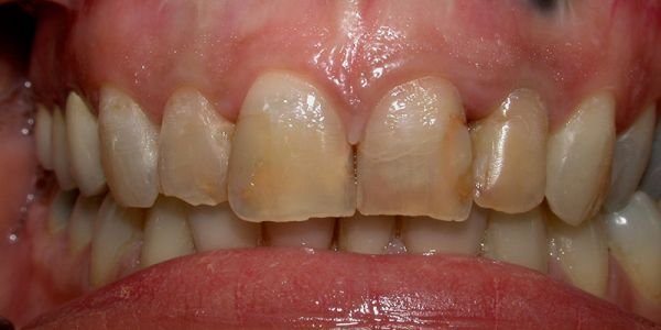
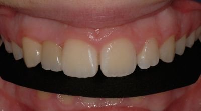
I denti che non si vedevano più, sono stati allungati e resi più importanti e più chiari, donando un aspetto ringiovanito e più adatto al paziente. Il tutto senza limare i denti se non esternamente, nei confini nello smalto, per uno spessore di 0,4 – 0,5 mm.
Prima
Sorriso invecchiato, labbra distoniche e asimmetriche

Dopo
Sorriso naturale, labbra simmetriche e ben supportate dai denti




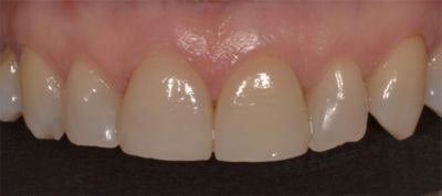
Caso 3
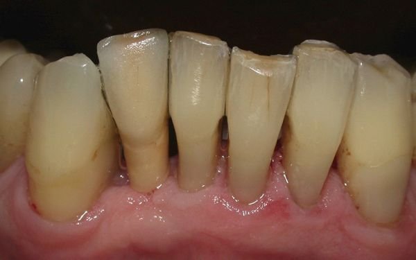
Preparazione faccette: La preparazione rimane confinata nello smalto. Le faccette hanno spessore molto ridotto, inferiore al mm.
Prima

Dopo




Caso 4
Prima


Dopo





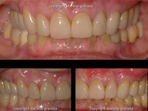
Corona singola in ceramica integrale (metal free)
Corone singole ceramica integrale (metal free). Il nucleo delle corone è privo di metallo.
Caso 1
Prima

Dopo

Caso 2
Prima

Dopo

Caso 3
Prima

Dopo


